AMEKO
LANSO
关注公众号
请登录
免费注册
搜索
热门搜索:
ELISA 试剂盒
胎牛血清
透析袋
移液吸头
实验室耗材
0
我的购物车
400-0918-500
— 免费热线 —
Toggle navigation
网站首页
产品中心
实验室试剂
生化试剂
氨基酸&多肽&蛋白质
常规生化试剂
动植物激素
抗生素
维生素
酶&辅酶&抑制剂
表面活性剂
碱基&核酸衍生物
酸&盐&胺
碳水化合物及衍生物
细胞生物学
细胞培养
细胞检测
细胞组分分离
细胞染色
细胞转染
细胞其他
分子生物学
免疫印迹
蛋白检测
核酸电泳
DNA溶液
RNA溶液
PCR相关
蛋白提取
表达纯化
蛋白其他
感受态制备
核酸检测
核酸其他
核酸杂交
载体菌种
核酸提取
蛋白与免疫学
蛋白电泳
免疫组化
常用试剂
比色液
常规其他
动物实验
缓冲液
抗凝剂
培养基添加剂
生长调节剂
试液
脱水剂
微生物培养
微生物染色
洗涤液
消毒剂
样本保存液
抑菌剂
植物营养液
植物组培
标准溶液
标准缓冲溶液
标准相关试剂
滴定液
病理染色液
HE染色
固定液
脱钙液
指示剂
核酸染色
结缔染色
酶类染色
染色其他
色素染色
神经染色
碳水染色
脂类染色
植物染色
骨组织染色
金属及盐染色
ELISA试剂盒
生化试剂盒
实验室耗材
液体处理
移液吸头
巴氏吸管
血清移液管
细胞培养
细胞培养板
细胞培养皿
细胞滤网
细胞爬片
冻存管/保存管
PCR系列
PCR八排管
PCR管
PCR板
封板膜
离心管
其他耗材
品牌代理
国产品牌
LANSO
AMEKO
碧云天
阿拉丁
TBD
四季青
Solarbio
进口品牌
Sigma
Amresco
TAKARA
MCE
PeproTech
Omega
BD
TCI
SAB
Oxoid
Roche
Invitrogen
Cytiva
AXYGEN
Corning
Millipore
Gibco
DRAGONLAB
Thermo Scientific
Eppendorf
美国光谱医学
美国联合碳化
Santa cruz
Abcam
其他品牌
特价换购区
品牌特价
品牌中心
服务中心
申请通道
新闻中心
公司新闻
行业新闻
关于我们
公司简介
联系我们
首页
产品中心
品牌代理
进口品牌
SAB
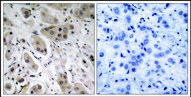
Mucin 13 Polyclonal Conjugated Antibody
保存温度:4˚C
货号
规格
品牌
库存
市场价
会员价
加入购物车
C41189-50μl
50μl
SAB
¥1800.00
-
+
商品详情
WB: 1:50-1:200
IF:1:50-1:200
象形图
警示语
Class
警告声明
UNub
危险声明
Packing Group
搜索质检报告(COA)
搜索
搜索MSDS
搜索
相关产品
CCR6 Antibody,支
加入购物车
Akt(Phospho-Ser473) Antibody
加入购物车
DEGS1 Antibody,支
加入购物车
Mucin 13 Polyclonal Conjugated Antibody
加入购物车
Mucin 1 Polyclonal Conjugated Antibody
加入购物车
BCL6 Antibody,支
加入购物车
Rat Thyroid stimulating hormone receptor antidoby (TRAb) ELISA Kit
加入购物车
(-)-蓝桉醇,489-41-8,支/
加入购物车
MMP13 Rabbit mAb,支
加入购物车
HA-Tag Rabbit Polyclonal Antibody,支
加入购物车
FOXK2 Antibody,支
加入购物车
Goat anti-Mouse IgG Secondary Antibody HRP conjugated,支
加入购物车
碳酸氢钠,144-55-8,支/
加入购物车
Aggrecan Antibody,支
加入购物车
TERT Polyclonal Antibody,支
加入购物车
TAB1 Antibody,支
加入购物车
ADAMTS5 Antibody,支
加入购物车
CHOP Polyclonal Antibody,支
加入购物车
KCNK13 Antibody,支
加入购物车
GPX3 Polyclonal Antibody,支
加入购物车
×
大包装询价
CAS NO
包装规格
纯度
数量
单位名称
Product Name
联系人
电话
邮箱
备注
验证码
0
购物车
微信
扫码关注公众号
电话
400-0918-500
7*24小时客服服务热线
客服
鹿森生物-莹莹:13917838824
鹿森生物-小朱:18616526224
鹿森生物-小谢:18069689578
顶部